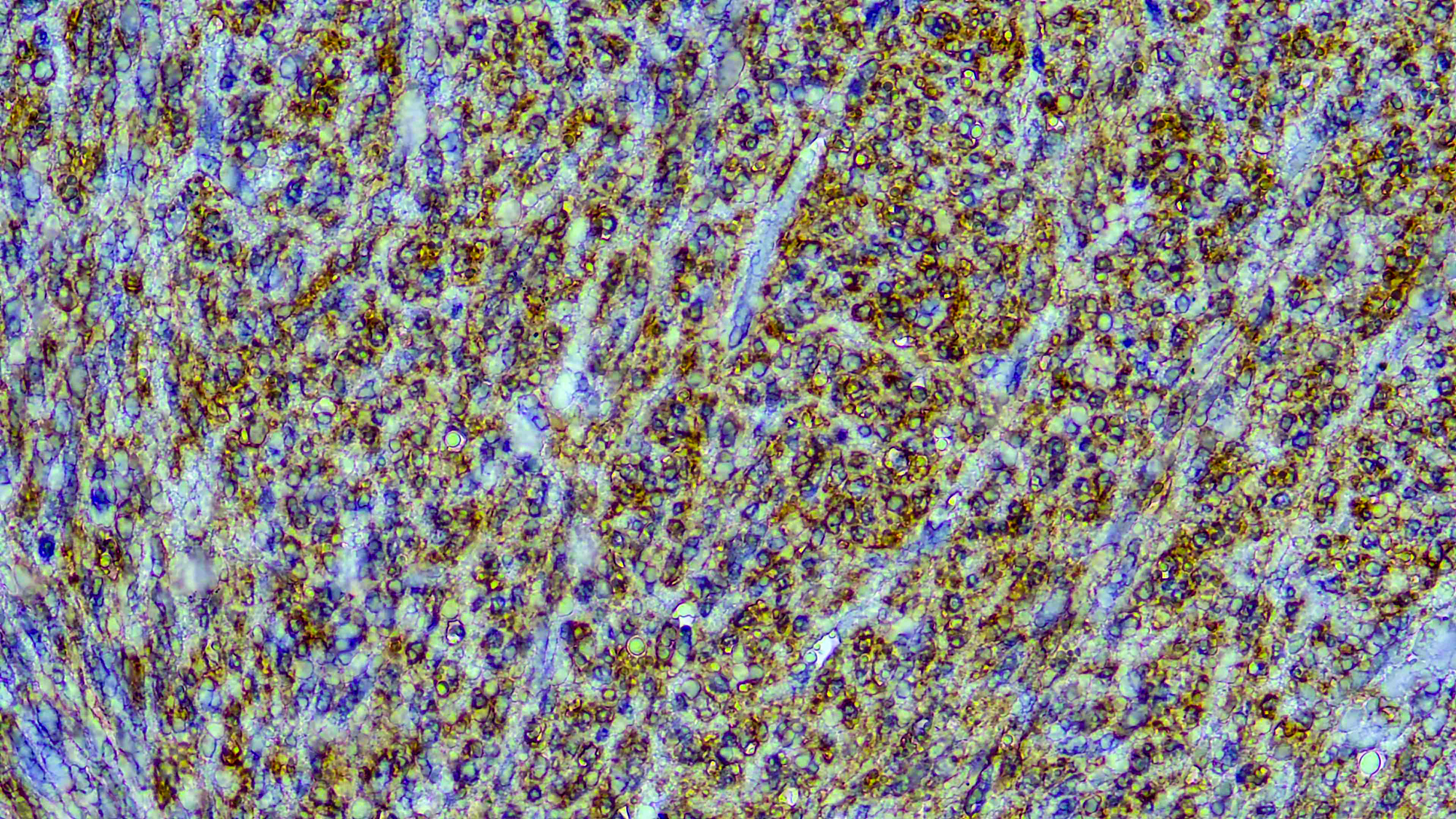
This antibody reacts with a 145 kDa protein. CD117/c-kit is a transmembrane receptor tyrosine kinase and is expressed in many tissues and cells. CD117/ckit is involved in the development of several lineages of stem cells, such as germ cells, neural crest derived melanocytes and hematopoietic precursor cells. This antibody can be used in the identification of gastrointestinal stromal tumors.
CD117/c-kit
Catalog No: RMAB119-
Categories: Primary Antibodies, IVD - For U.S. Market, IVD - Outside U.S. Market
Tags: Concentrated, C, Highlighter Product, HL72K-Core Kit
Description
Additional information
| Catalog No. | RMAB119, RMPD119 |
|---|---|
| Clone | DBRRM1.17 |
| Isotype | IgG, kappa |
| Immunogen | Recombinant human full KIT protein fragments(around aa 50-200) |
| Species | Rabbit |
| Cellular Localization | cell surface, Cytoplasmic |
| Positive Control Tissue | GIST |
| Pretreatment | EDTA Buffer pH 8.0 (Manual/ Montage) |
| Incubation & Temperature | 30 min @ RT |
| Intended Use | IVD |
| Detection System | PolyVue™ Plus – Two Step Detection System or Montage PolyVue Plus™ Auto Detection System for Montage 360 System or HighLighter core kit for HighLighter Staining System |
| Description/Type | Rabbit Monoclonal Antibody |
| Format | Purified immunoglobulin |
DATASHEETS & SDS
DATASHEETS & SDS
| Download Datasheet |
REFERENCES
REFERENCES
- i) Arber et al. Hum Pathol 29: 498, 1998.
- ii) Rajpert et al. J Pathol 178: 166, 1996
Reviews (0)
Only logged in customers who have purchased this product may leave a review.



Reviews
There are no reviews yet.