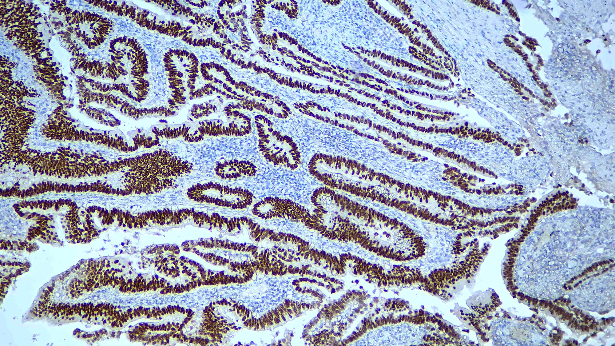
Special AT-rich sequence-binding protein 2 (SATB2) is a recently described marker that functions as a nuclear matrix-associated transcription factor. It has been reported that SATB2, in combination with CK20, could identify almost all colorectal carcinomas, including poorly differentiated colorectal carcinomas. Upper gastrointestinal (GI) carcinomas and pancreatic ductal carcinomas are usually negative for SATB2, and ovarian carcinomas, lung adenocarcinomas, and adenocarcinomas from other origin are rarely positive for SATB2. Therefore, SATB2 is a good marker for identifying a carcinoma of colorectal origin when working on a tumor of unknown primary. It can help differentiate colorectal metastasis (SATB2+) from primary pulmonary adenocarcinoma of mucinous or enteric type (SATB2- but often CDX2+)
SATB2 (EP 281)
Description
Additional information
| Catalog No. | RMAB112 Concentrated, RMPD112 Prediluted |
|---|---|
| Clone | EP 281 |
| Isotype | IgG |
| Immunogen | Synthetic peptide corresponding to human SATB2 |
| Species | Rabbit |
| Cellular Localization | Nuclear |
| Positive Control Tissue | Colon carcinoma |
| Pretreatment | EDTA Buffer pH 8.0 (Manual/ Montage) |
| Incubation & Temperature | 30 min @ RT |
| Intended Use | IVD |
| Detection System | PolyVue Plus – Two Step Detection System or Montage PolyVue Plus Auto Detection System for Montage 360 System |
| Description/Type | Rabbit Monoclonal Antibody |
| Format | Purified immunoglobulin |
DATASHEETS & SDS
DATASHEETS & SDS
| Download Datasheet |
| Download SDS Sheet – OSHA |
REFERENCES
REFERENCES
I.Mangnusso K, et al. SATB2 in combination with cytokeratin 20 identifies over 95% of all colorectal carcinoma. Am J Surg Pathol. 2011; 35:937-48.
II. Lin F, et al. Cadherin17 and SATB2 are sensitive and specific immunomarkers for medullary carcinoma of the large intestine. Arch Pathol Lab Mad. 2014; 138:1015-26.
III. Li Z, et al. SATB2 is a highly sensitive marker for hindgut welldifferentiated neuroendocrine tumors. Int J Clin Exp Pathol.
2015; 8:7072-82.
Reviews (0)
Only logged in customers who have purchased this product may leave a review.



Reviews
There are no reviews yet.