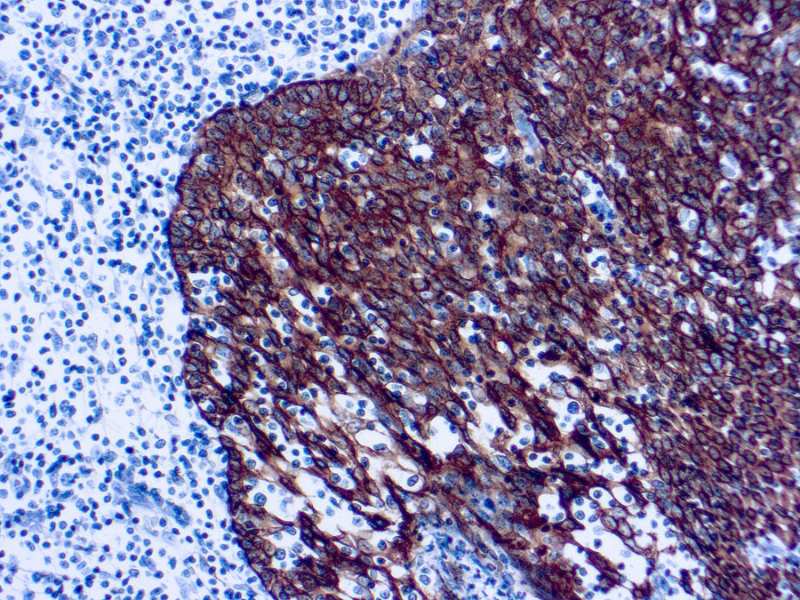
Cytokeratin Pan 5D3 plus LP34 Published January 24, 2021 at 800 × 600 in Cytokeratin Pan 5D3 plus LP34 Cytokeratin Pan 5D3 plus LP34 Cytokeratin Pan 5D3 plus LP34 ← Previous Next →