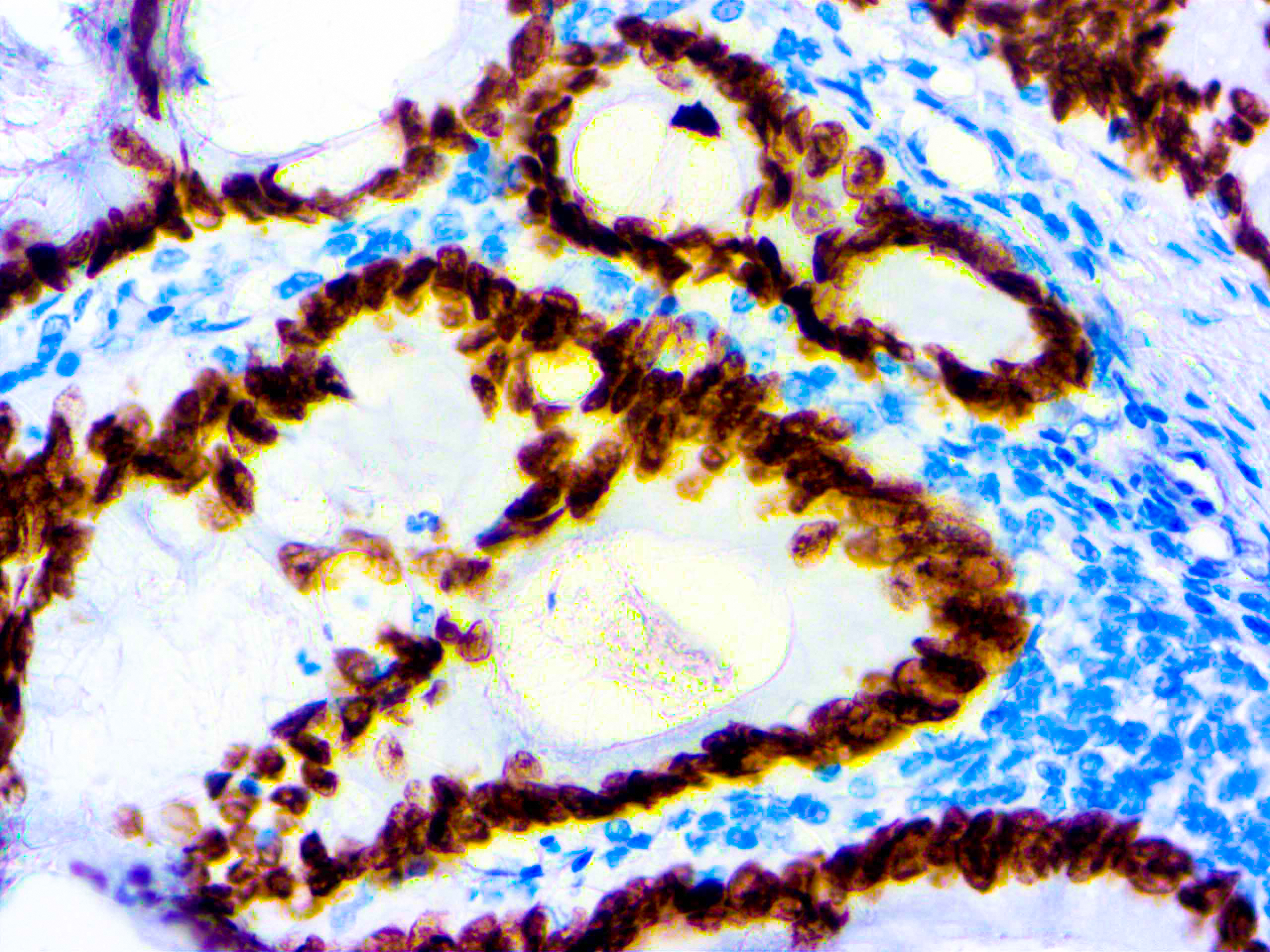
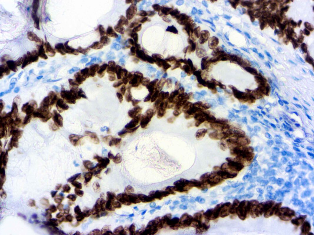
formalin fixed paraffin embedded human Colon Ca stained with SATB2 40x Published December 6, 2021 at 2560 × 1920 in formalin fixed paraffin embedded human Colon Ca stained with SATB2 40x formalin fixed paraffin embedded human Colon Ca stained with SATB2 40x formalin fixed paraffin embedded human Colon Ca stained with SATB2 40x ← Previous Next →