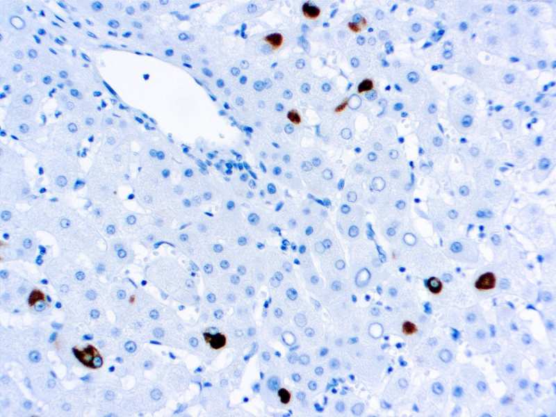
Hepatitis B Surface Antigen HBsAg Clone 3E7 Published January 24, 2021 at 800 × 600 in Hepatitis B Surface Antigen HBsAg Clone 3E7 Hepatitis B Surface Antigen HBsAg Clone 3E7 Hepatitis B Surface Antigen HBsAg Clone 3E7 ← Previous Next →