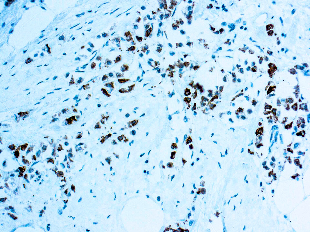
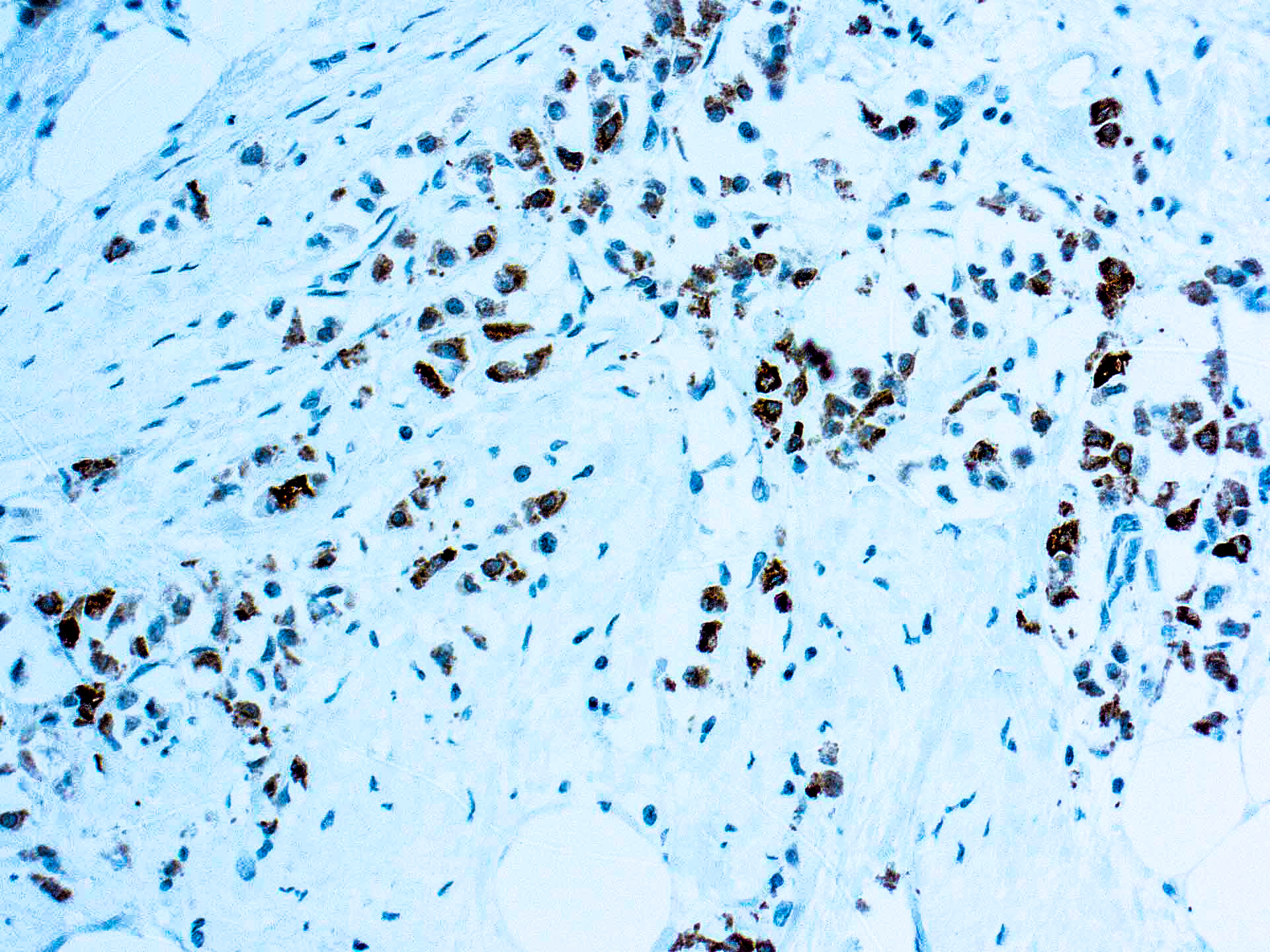
PDM544 Published July 26, 2021 at 1920 × 1440 in PDM544 Formalin fixed paraffin embedded human breast carcinoma stained with Mammaglobin-A. PDM544 ← Previous Next →