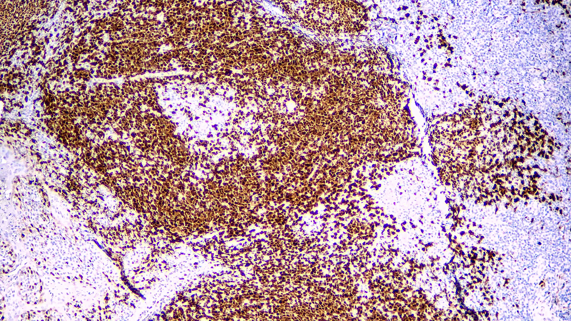
Cyclin D1 or PRAD-1 or bcl-1 is one of the key cell cycle regulators, and functions in association with cdk4 and/or cdk6 by phosphorylating the Rb protein. It is a putative proto-oncogene overexpressed in a wide variety of human neoplasms including mantle cell lymphomas (MCL).
Cyclin D1 (SP4)
Catalog No: 8685
Categories: Primary Antibodies, IVD - For U.S. Market, IVD - Outside U.S. Market
Tags: C, Concentrated
Description
Additional information
| Catalog No. | RMAB003, RMPD003 |
|---|---|
| Clone | SP4 |
| Isotype | Rabbit IgG |
| Immunogen | A synthetic peptide from C-terminus of human cyclin D1. |
| Species | Rabbit |
| Cellular Localization | Nuclear |
| Positive Control Tissue | Breast carcinoma |
| Pretreatment | EDTA Buffer pH 8.0 |
| Incubation & Temperature | 30 min @ RT |
| Intended Use | IVD |
| Detection System | PolyVue Plus – Two Step Detection System Montage PolyVue Plus Auto Detection Systemrnfor Montage 360 System |
| Description/Type | Conc Rabbit Monoclonal Antibody |
| Format | Purified immunoglobulin |
DATASHEETS & SDS
DATASHEETS & SDS
| Download Datasheet |
| Download SDS Sheet – OSHA |
REFERENCES
REFERENCES
Cheuk et al. Am J Surg Path 28: 801, 2004.
Reviews (0)
Only logged in customers who have purchased this product may leave a review.



Reviews
There are no reviews yet.