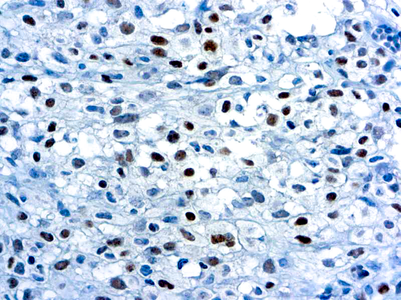
Rhabdomyosarcoma Myogenin Published February 20, 2021 at 800 × 600 in Rhabdomyosarcoma Myogenin Formalin fixed paraffin embedded human rhabdomyoscarcoma stained with Myogenin. Rhabdomyosarcoma Myogenin ← Previous Next →